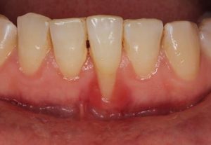
[caption id="attachment_6893" align="alignleft" width="350"]
diş eti çekilmesi[/caption]
Diş Eti Çekilmesi Nedir?
Diş eti çekilmesi, dişleri saran diş eti dokusunun diş dokusundan daha sarı renkte olan diş kökünü açığa çıkartacak seviyede geri çekilmesidir. Diş eti çekilmesi, diş ve diş eti çizgisi arasında boşluk oluşması ile bu boşluklara zararlı bakterilerin yerleşmesi sonucu oluşur. Diş eti çekilmesi tedavi edilmediği takdirde, diş destek dokuları ve çenedeki kemik yapıları ciddi hasarlar alabilir ve bu da diş kaybı gibi birçok olumsuz duruma yol açabilir. İnsanlarının çoğunun fark etmeyeceği seviyelerde diş etlerinin çekilmesi gerçekleşebilir. Bunun nedeni diş eti çekilmesinin oldukça yavaş bir şekilde gerçekleşmesidir. Diş etleri sağlıklı bireylerde genellikle diş eti rengi açık pembedir ve yapısı portakal kabuğuna benzer. Aynı zamanda sağlıklı diş etleri kanamaz ve devamlılığı bozulmaz. Diş eti sağlığı çeşitli nedenlerle bozulabilir ve sağlığı bozulan diş etinde görülen ilk belirti kanamadır. Diş eti çekilmesinden şüpheleniyorsanız kesinlikle bir diş hekimi tarafından muayene olmalısınız. [caption id="attachment_6902" align="alignright" width="365"]
diş eti çekilmesi örnek vaka[/caption]
Diş Eti Çekilmesi Nedenleri Nelerdir?
Diş eti çekilmesinin birbirinden farklı nedenleri olabilir. Diş eti çekilmesi, bazen kişinin kendisi tarafından gözlemleyebileceği belirtiler göstermeyebilir fakat diş hekiminiz tarafından oldukça anlaşılır ve açık belirtiler gösterir. Diş eti çekilmesi belirtilerini şu şekilde sıralayabiliriz:
- Ağız bakımına dikkat edilmemesi, diş ve diş etlerinin bakımının ihmali diş eti çekilmesine neden olabilir. Diş eti ağrısı bu aşamada görülebilir.
- Diş gıcırdatma alışkanlığı diş eti problemlerine yol açar ve eğer böyle bir probleminiz varsa kesinlikle bir diş hekimine başvurmalı gereken tedaviyi görmelisiniz.
- Sert diş fırçalamaya bağlı olarak yalnızca diş değil diş etlerine de oldukça zarar verilmiş olur ve bu durum diş eti çekilmesine yol açabilir.
- Diş eti çekilmesinin bir diğer nedeni de genetiktir. Anne ve babada diş eti çekilmesi görülüyorsa, çocukta da diş eti çekilmesine rastlanabilir.
- Diş eti doku yaralanması sonucu diş eti çekilmesi görülebilir.
- Diş eti iltihabı nedeniyle de diş etlerinde çekilme yaşanır.
- Alkol ve sigara gibi kötü alışkanlıklar da diş eti çekilmesi nedenlerinden biridir.
- Ortodontik tedavi gerektiren çarpışık dişler diş eti çekilmesine neden olabilir.
- Dışarıdan dikkatsizce alınan ilaçlar ve kanser gibi hastalıklar sırasında diş eti çekilmesi yaşanabilir.
Ağız bakımına dikkat etmek ve dişleri düzgün bir şekilde fırçalamak ağızda bakteri oluşumunu önleyeceğinden diş eti çekilmesi yaşanmaması açısındanda faydalı olacaktır.
Diş Eti Çekilmesi Belirtileri Nelerdir?
Diş eti çekilmesi belirtileri, hastanın diş eti dokusunu gözlemlediğinde rahatlıkla anlaşılabilir. Diş eti çekilmesi belirtilerine; diş fırçalarken diş etlerinde kanama, kızarmış ve şişmiş diş eti, diş etlerinde hassasiyet, kötü ağız kokusu, dişlerden kolaylıkla ayrılabilen diş etleri, diş eti şişmesi, diş ve diş eti arasında iltihaplı akıntı, sallanan ve git gide birbirinden uzaklaşan dişler örnek verilebilir.
Diş Eti Çekilmesi Tedavisi Nedir?
Diş eti çekilmesi tedavisi; 3 aşamada gerçekleştirilir. Diş eti çekilmesi tedavi aşamaları;
- Diş dokusu hasarının tedavisi,
- Diş hassasiyet tedavisi,
- Çekilen diş eti dokusunun cerrahi yollarla yerine getirilmesi şeklinde sıralanabilir.
Diş eti çekilmesi tedavisi, hastanın durumuna göre farklı yöntemlerle tedavi edilir. Diş eti çekilmesinde birçok tedavi yöntemleri uygulanabilir. Diş eti çekilmesinin derecesi hafif ise çekilmeden dolayı ortaya çıkan diş ve kök yüzeylerinde oluşan plak ve diş taşı detaylıca temizlenir. Temizlemenin ardından bakterilerin yüzeye tutunmasını engellemek amacıyla yüzey pürüzsüzleştirilir. Diş eti çekilmesi diş kayıplarına neden olabilmektedir. Bu durum hafif seyreden vakalarda gözlemlenmese de çekilme ciddi boyutlara ulaştığında yaşanabilmektedir. Böyle ciddi vakalarda diş eti çekilmesi kemik erimesiyle birlikte kemik kaybına da yol açabilmektedir. Hemen AraRandevu AlWhatsapptan Yaz
Diş Eti Çekilmesi Nasıl Önlenir?
Diş eti çekilmesini önlemenin en temel yolu dişleri doğru, düzenli fırçalama ve ağız hijyenine dikkat etmektir. Diş eti çekilmesini önlemenin bir diğer yolu ise düzenli olarak diş hekimine görünmektir. Yumuşak kıllı fırça kullanmak ve dişleri doğru fırçalama yöntemiyle fırçalamak oldukça önemlidir. Sigara ya da tütün ürünlerinden uzak durmak, diş eti çekilmesinin önüne geçmekte önemlidir. Çünkü diş eti çekilmesi sonucunda diş kayıpları görülen hastaların çoğunluğunun tütün ürünleri kullandığı belirlenmiştir. Dengeli ve sağlıklı beslenmek diş eti ve diş sağlığı için önemli bir diğer etkendir. Diş etinin zaman içinde değişimini iyice gözlemleyin. Diş etlerinin anormal olarak diş eti çekilmesi yaşadığı anda hızlı bir şekilde diş hekimine başvurun.

1 Комментарий
Kazadan sonra Dış kaybı yaşadım implant yaptırmak istiyorum yazınızı okudum çok bilgilendiriniz sağolun hemen randevu alacağım