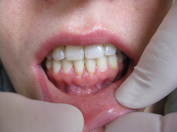
Bir çok diş rahatsızlığı olan kişiler diş eti çekilmesi yaşamaktadır. Bu durumu etkileyen çeşitli faktörler olsa da, çoğu diş eti çekilmesi tedavi edilebilmektedir. Peki diş etlerinin çekilmesine tam olarak ne sebep olur? Diş eti çekilmesi için ne tür tedaviler mevcuttur? 
Diş Eti Çekilmesi Tedavisi Ücreti İstanbul
Diş eti çekilmesi tedavisi ücreti, aldığınız tedavi prosedürene bağlı olarak 1.000 TL ile 2.000 TL aralığında değişmektedir. Diş eti çekilme oranı ne kadar gelişmiş olursa, tedavi aşamaları daha fazla süreceğinden ücret artacaktır. Diş eti çekilmesi tedavi ücreti, tedaviye başladığınız diş hekimine, kliniğin konumuna ve durumu ne kadar erken fark ettiğinize bağlı olarak belirlenecektir. Diş eti hastalıklarının tedavisini kliniğimizde Dr. Öğretim Üyesi Kenan Nazaroğlu ve Dr. Orhan Abishev yürütmektedir. Daha detaylı diş eti çekilmesi tedavi ücreti hakkında bilgi almak için kliniğimizi arayabilir, dilerseniz randevu alabilirsiniz. Randevu ve Bilgi için: https://www.periodent.net/online-randevu/
Diş Etlerinin Çekilmesine Ne Sebep Olur?
Diş etlerinin çekilmesi, aşağıdakileri nedenler kaynaklanır; Genetik: Bazı hastaların diş etleri çekilmeye daha duyarlıdır. Hatta bazı araştırmalar, dişlerine çok iyi baksalar bile nüfusun % 30'unun diş etlerinin çekilmeye eğilimli olduğunu ve bunun nedeninin genetik faktörlerden kaynaklandığını belirtmektedirler. Periodontal Hastalık: Periodontal hastalık, diş eti dokusunu ve dişlerin çevresindeki kemiği yok edebilen kronik bir diş eti enfeksiyonudur. Periodontal hastalığın en yaygın şekli; tipik olarak kırmızı, şişkinlik ve diş eti kanaması gibi semptomlardır. Tedavi edilmediğinde, diş eti hastalığı sonunda dişeti dokusunu aşındırır ve daha da ciddi ağız sağlığı sorunlarına neden olabilir. Hormonlar: Kadınlar yaşamları boyunca östrojende değişiklikler yaşadıkça, hamilelik veya menopoz sırasında diş etlerinin çekilmesine daha duyarlı olabilirler. Çok Sert Fırçalama: Diş fırçasıyla veya fırçasıyla çok sert "ovalayan" hastalar diş etlerinin çekilmesine neden olabilir. Kötü diş bakımı: İyi ağız hijyeni uygulamayan hastalar, aşırı plak ve tartar birikimi yaşayabilir ve diş etlerinin çekilmesinden muzdarip olabilir. Sigara içmek: Sigara içenler, her fırçalamada tamamen çıkarılması zor olabilen inatçı bir plak formu geliştirir. Bu birikme, diş etlerinin çekilmesine neden olabilir. Dişleri gıcırdatmak veya sıkmak: Dişlerinize çok fazla güç uygulamak diş eti çekilmesine neden olabilir. Yaş: Yaşlılar ve yaşlılar diş eti çekilmesine daha yatkın olma eğilimindedir. Gördüğünüz gibi diş eti çekilmesine neden olabilecek birçok faktör var. Bu faktörlerden bir veya daha fazlasına sahipseniz özellikle duyarlı olabilirsiniz. Neyse ki, diş eti çekilmesini önlemenin ve tedavi etmenin yolları vardır.
Diş Etlerinin Çekilmesi İçin Tedavi Seçenekleri Nelerdir?
Diş eti çekilmesini önlemek için yapabileceğiniz en iyi şeylerden biri, iyi ağız hijyeni alışkanlıkları uygulamaktır. Doğru teknikle günde iki kez en az iki dakika fırçalamak diş etlerini sağlıklı tutmanın en iyi yollarından biridir. Asla çok sert fırçalamadığınızdan emin olun ve bunun yerine yumuşak kıllı bir diş fırçası kullanın ve her dişi nazikçe fırçalayın. Hatta diş etlerinizi çok hafifçe fırçalayabilirsiniz. Her zaman diş ipi kullandığınızdan emin olun ve yılda iki kez yapılan diş temizleme muayenelerinizi asla atlamayın. Diş etleriniz periodontal hastalık nedeniyle geriliyorsa, diş hekiminizle bir tedavi planı oluşturmanız önemlidir. Hastalığın ciddiyetine bağlı olarak, tartarı gidermek ve diş köklerinizde birikmek için bir dizi derin temizlik yapmanız gerekebilir. Daha hafif diş eti hastalığı türleri tipik olarak evde diş fırçalama ve diş ipi kullanmaya ve diş eti hastalığı ile savaşmak için özel olarak formüle edilmiş bir gargara kullanmaya ekstra dikkat gerektirir.
Diş etlerinin çekilmesinin ana semptomlarından biri artan hassasiyet olduğundan, diş hekiminiz kökler için hassas bir diş macunu veya bir vernik önerebilir. Bu adımlar, açıkta kalan kökler üzerindeki hassasiyeti azaltmaya yardımcı olacaktır. Bazı durumlarda, diş hekiminiz kompozit restorasyon önerebilir. Bu adım, dişler arasındaki boşlukların kapatılmasına veya eksik diş eti dokusunun kapatılmasına yardımcı olabilir. Dişlerin doğru pozisyonda olmadığı durumlarda, diş hekiminiz dişleri hareket ettirmek için ortodonti önerebilir. Bu taktik, diş etlerinin dişlerin etrafına daha doğal bir şekilde yerleşmesine yardımcı olabilir. Şiddetli diş eti çekilmesi, diş etlerini eski haline getirmek için diş eti ameliyatı gerektirebilir. Bu tedavi ile diş hekiminiz veya periodontistiniz, tedavi edilen bölgeye ağzın başka bir yerinden alınan sağlık dokusunu aşılayacaktır. Bu tedavi özellikle ağızları sağlıklı olan, ancak genetik olarak durgunluğa yatkın olan hastalar için yararlı olabilir. Ameliyat sadece hastanın ağzının kozmetik görünümünü iyileştirmekle kalmaz, aynı zamanda hassas köklere çok ihtiyaç duyulan rahatlamayı da sağlayabilir. Çoğu diş eti çekilmesi tipik olarak tedavi edilebilir, ancak iyi ağız hijyenini sürdürmekle mücadele eden ve ciddi periodontal hastalığı olan hastalar, ağız sağlığına kavuşana kadar dişeti çekilmesini tedavi edemeyebilir. Diş eti çekilmenizin tedavi edilebilir olup olmadığından emin değilseniz, diş hekiminizle seçenekleriniz hakkında konuşun.

8 Комментарий
Uygun fiyatlı baya sevdim ben yaptırdım
Hangi tedaviyi uyguladınız bir sıkıntı yaşadınız mi sonradan ?
Diş eti çekilmesi ,cerrahı işlem ücreti ne kadar
Nasil bir tedavi yapiliyor dis etine
Diş dolgusu çok ağırııyormu fiyatını öğrenebilirmiyim
Merhaba kliniğimizi arayarak detaylı bilgi alabilirsiniz.