Diş küretaj tedavisi; diş etlerinin iç kısmına ilerleyen tüm diş taşı ve mikropları temizleyerek diş sağlığını iyileştirmek amacıyla uygulanan bir yöntemdir. Diş küretaj uygulamasının, diş taşı temizliği ile temel farkı enfeksiyonun diş köküne ilerlemeye başlaması nedeniyle derinlemesine yapılmasıdır. Diş Eti Hastalıkları Uzmanı Dr. Kenan Nazaroğlu küretaj uygulamasını tüm yönleriyle bu yazıda açıklıyor. 
Diş Küretaj Nedir?
Peki tam olarak küretaj nedir? Diş küretaj, ağızdan ve diş etlerinden hastalıklı doku, tartar ve plakların çıkarılması işlemidir. Diş küretaj, periodontal hastalığın ilerlemesini önlemek amacıyla sıklıkla uygulanan bir tekniktir. Küretaj kelime anlamı olarak ''derin temizlik'' anlamını ifade etmektedir. Diş küretajı uygulaması yapılırken diş etlerinde iltihaplı ölü dokuyu kesmek için özel lazer kullanılır. Burada temel amaç hasarlı ve iltihaplı dokuların sağlıklı dokulara da bulaşmasını engellemektir. Hasarlı dokunun çıkarılması neticesinde sağlıklı yeni doku gelişimi tetiklenir. İleri seviye olmayan aşamalarda diş ile diş eti arası açılarak işlem yapılabilmektedir.
Açık Küretaj
Açık küretaj; ileri seviye periodontal hastalıkları olan kişilerde ölü diş etlerinin kesilerek diş sağlığını korunması amacıyla uygulanan tekniktir. Açık küretaj uygulaması kapalı küretaj uygulamasının yeterli olmayacağının tanısı koyulduktan sonra yapılır.
Kapalı Küretaj
Kapalı küretaj; diş eti ceplerinin açılarak içeriden derinlemesine yapılan diş taşı, plak temizliğidir. Kapalı küretaj yönteminde mümkün olduğunda diş etleri korunur. Ancak ölü ve hastalıklı dokular uzaklaştırılmaktadır.
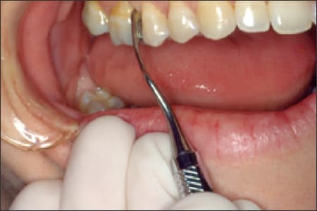
Küretaj Tedavisi Nasıl Yapılır?
Diş eti hastalıkları uzmanı hastanın durumu değerlendirdikten sonra açık veya kapalı küretaj tedavisini şu şekilde yapar.
- Diş küretaj uygulaması öncesi hastanın ağrı duymasını önlemek amacıyla farklı noktalardan 4-5 adet iğne yapılarak dokuların uyuşması beklenir.
- Açık diş küretajında, ölü dokuyu çıkarmak için diş eti ceplerine keskin bir kesici alet sokulur.
- Diş etlerinden ölü veya enfekte doku çıkarılır. Derinlemesine diş taşı temizliği yapılır.
- Birikintileri temizlemek için ağız sıklıkla steril bir solüsyonla yıkanır.
- Dişlerin kökleri plak ve mikropların oluşumu için bir yüzey sağlamayacak şekilde düzeltilir.
- Küretaj Uygulaması ilerlemiş diş eti hastalığı olan kişilerde hızlı sonuçlar almayı sağlar.
Küretaj Yaptırmanın Avantajları Nelerdir?
- Diş etlerinde oluşan iltihaplı ve ölü doku kurutularak ağızdan uzaklaştırılır.
- Çene kemiği sağlığını koruyarak çene kemiği erimesini önler.
- Periodontal hastalık ilerlemesini durdurarak periodontitise dönüşmesini engeller.
- Ağız hijyen ve sağlığı tekrardan kazanılır.
- Çeşitli diş kayıplarının önüne geçilir.
2021 Yılı Diş Küretaj Fiyatları Ne Kadar?
Diş Küretaj fiyatları belirlenirken hastanın ağız hijyen durumu, kliniğin konumu ve hekim tecrübesi küretaj fiyatını belirler. Küretaj fiyatları hastadan hastaya değişebilse de ortalama 1-2 seansta tamamlanan diş küretaj tedavisi fiyatı 2021 yılında 500 TL ile 900 TL fiyat aralığındadır. Daha detaylı bilgi için Hemen AraRandevu AlWhatsapptan Yaz
Küretaj Sonrası
Küretaj tedavisi sonrası bir hafta süreyle sıcak soğuk hassasiyeti ve ufak kanalamalar yaşanması gayet normaldir. Belirli süre sonra diş etleri sağlıklı olan pembe rengini almaya başlar. Küretaj sonrası, diş ipi kullanımı ve ağız gargarası aksatılmamalıdır. Tartar ve plaklar ağız hijyeni korunmadığında bir kaç yıl içinde aynı bölgelere yerleşebilir. Diş kökleri sağlığı açısından diş etlerinin bakımı önem teşkil eder. Periodontal küretaj diş eti hastalıklarını ilerlemesini durdurur, bundan sonraki süreçte hastanın ağız hijyenini koruması ve diş hekimi muayenelerini aksatmaması gerekmektedir.

8 Комментарий
Hamilelikte kuretaj yapılabilir mi
Slm küretaj işlemi sirasin da cepr acler açılarak temizlik yapılıyor yazmışsınız eşimle başka yerde yaptırdık böyle bir açılma yapılmadı 15 dakika süren bir işlem yapıldı bu küretaj olmuyor mu acaba
Hayır sizin yaptığınız işlem diş taşı genel temizliği oluyor
Anesteziyle mi uygulanıyor?
Merhaba uyuşturcu sprey ve iğne ile anestesizi yapılmakta.
Gayet açıklayıcı bir bilgi merak gideren bir yazı olmuş teşekkürler.
Kolay gelsin doktor bey . Küretaj tedavisi uygulandı . Küretaj tedavisi uygulanmadan önce doktora gösterdiğim de diş etlerimin baya sıkıntılı durumda olduğu söylendi hatta damaktan et alınıp alt ön dişlerin önüne yerleştirilmesi gerektiğini söyledi .Küretaj tedavisi uygulandıktan bir hafta sonra yine doktora gittim . Bu süreçte tabiki diş fırçalama durumuma özen gösterdim .Doktor dış etlerin duzelmeye başlamış dedi . Birazdaha temizlik yaptıktan sonra 3 ay sonra tekrar kontrole gel dedi. Doktor hanıma pek soru soramadım . Benim anlamadığım doktor bey şimdi bu olumlu bir gelismemi açıkçası damaktan parça alinarak ön dişlere nakledilmesini bekliyordum.
Merhaba Ağustos 2021 de tek bir Disime kuretas işlemi yaptırdım.4 ay oldu Fakat yapılan dişimde ve diş aralarinda ağrı oluyor.farkli doktorlarada gösterdim sorun olmadığını dış etinden kaynaklandığını söylediler.Yaptirdigim dişte neden dayanılmaz ağrılar cekiyor olabilir. Bazen dişi çekmek istiyorum.