
Dişler üzerinde oluşan bazı dizilim bozuklukları, ortodonti tedavisi gerektirebilir. Üstelik ortodontik tedaviler ve diş teli çeşitleri seçimi için sadece diş yapısındaki bozukluklar giderilmez. Bu tedavi sayesinde dişlerin yanı sıra çene yapısındaki bozukluklar da giderilir.
Diş teli tedavisi görecek olan kişiler temel olarak estetik görünümlerinden şikayetçidirler. Özellikle geleneksel diş telleri, pek çok kişi tarafından sevilmez. Bu nedenle diş teli çeşitleri daha fazla artırılarak geliştirilmiştir.
Diş teli çeşitleri ile ilgili daha fazla bilgi almak için https://drdadasli.com/dis-teli-cesitleri/ adresini ziyaret edebilirsiniz.
Diş Teli Çeşitleri Nelerdir?
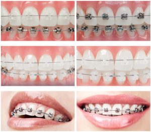
Ortodontik diş telleri 4 çeşittir. Bunlar metal diş teli, lingual diş teli, porselen diş teli ve şeffaf plaklardır.
Metal Braketler (Diş Teli)

Ortodonti tedavilerinde en çok kullanılan diş teli çeşidi metal braket seçeneğidir. Diğer diş tellerine göre metal braketler daha sağlam yapıda ve daha uygun fiyattadır. Üstelik sağlam olmaları sebebi ile diş tedavilerini diğer diş tellerine göre daha kısa zamanda tamamlayabilirler.
Dişlere uygulandıktan 6 ay – 2 yıl arasında tedavi tamamlanmış olur. Devlet hastanelerinde de metal diş telleri kullanılmaktadır. Diğer diş tellerine göre daha uygun fiyatta olması, esas tercih nedenlerinden sadece biridir.
Diş dizilim bozukluklarında, diş aralıklarının tedavisinde ve damak yapısı bozukluklarında metal diş tellerinden faydalanılır. Metal diş teli düşünen kişiler için renkli çeşitleri de mevcuttur.
Şeffaf Braketler (Diş Teli)
Şeffaf diş teli olarak bilinen bu yöntemi, porselen braket olarak da bilinmektedir. Adından da anlaşılacağı üzere bu tedavi yönteminde kullanılan braketler şeffaftır. Tamamen estetik kaygıları gidermek için üretilmiş porselen braket çeşididir.
Renksiz oluşu nedeni ile dişlerde daha estetik bir görünüm sağlar. Ama metal diş teline göre dayanıklı değildir. İş yaşamında ve insanlar ile yoğun ilişkiler kuran kişilerce daha çok tercih edilir. Diğer diş tellerine göre şeffaf diş teli fiyatları daha yüksektir.
Dişler üzerine yapıştırılan braketler şeffaf olduğu için uzaktan bakıldığında diş teli tedavisi görüldüğü anlaşılmaz. Ancak yakından bakıldığında dişlerin üzerinde diş teli olduğu anlaşılır. Şeffaf braketlerin metal braketlere göre ortodontik tedavi süreci biraz daha uzundur.
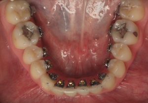
Lingual Braketler (Diş Teli)
Lingual diş teli, hiçbir şekilde diş yüzeyinde görünmez. Şeffaf diş tellerinin bile görünmesini istemeyen kişiler tarafından tercih edilir. Lingual braketler genelde yetişkin hastalar tarafından daha çok tercih edilen bir tedavidir.
Bu tedavi dişin dış tarafına değil, iç yüzeyinden yapılır. Diğer diş teli tedavilerine oranla, kişilerin alışma süreleri daha fazladır. Tedavinin süresi ise 2 yıl sürebilir.
Şeffaf Plak
Şeffaf Plak, diş teli tedavilerinden farklı olarak takılıp çıkartılabilir özelliktedir. Göreceli olarak daha basit olgularda tercih edilir. Yemek yerken ve diş fırçalarken dişten çıkartılabilir.
Şeffaf aparey tedavisinde plakların 22 saat boyunca dişte kalması gerekir. Gece uyurken de ağızda kalması gerekir. Kullanımı diğer ortodonti tedavilerine nazaran daha kolay ve daha konforludur.
Size en uygun diş teli fiyatları seçenekleri için ücretsiz randevu alabilirsiniz. Ortodontist size en uygun tedavi seçeneğini sunacaktır.


0 Комментарий
Комментариев пока нет. Оставьте комментарий первым!