Porselen Diş Kaplama Fiyatları 2021
Porselen diş tedavisi fiyatları hastanın isteklerine göre belirlenir. Porselen diş kaplama fiyatları seçilecek diş kaplama türüyle 2021 yılında netleş...
Читать далее
                Diş Teli Çeşitleri Nelerdir?
Dişler üzerinde oluşan bazı dizilim bozuklukları, ortodonti tedavisi gerektirebilir. Üstelik ortodontik tedaviler ve diş teli çeşitleri seçimi için sa...
Читать далее
                Diş Teli Tedavisi Ne Kadar Sürer?
Diş teli tedavi süresi kişiden kişiye değişmektedir. Ortalama diş teli tedavi süresi 6 aydan başlayıp, 30 ay kadar sürebilmektedir. Diş tedavilerinde ...
Читать далее
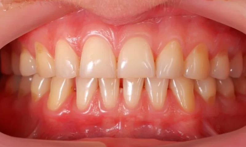
                Diş Eti Şişmesi Nasıl Geçer? Diş Eti Şişmesi Neden Olur?
Diş eti şişmesi, diş taşı ve diş eti iltihabı gibi pek çok farklı sebeple oluşabilmektedir. Diş eti şişmesi neden olur tespit edilmeli ve doğru t...
Читать далее
                Diş Ağrısı Nasıl Geçer Evde
Diş ağrısı nasıl geçer konusunda evde yapılacak bazı yöntemler bulunmaktadır. Diş ağrısı evde ortaya çıkınca peki neler yapabilir geçmesi için? Bu yaz...
Читать далее
                Uyku Apnesi Belirtileri Nelerdir? Uyku Apnesi Tedavisi
Uyku apnesi tedavisi yapılmadığı takdirde ciddi sağlık sorunlarına yol açar. Uyku apnesi belirtileri pek çok kişide yaygın olarak görülebilmektedir. C...
Читать далее