Ağız Kanseri Nedir? Ağız Kanseri Belirtileri Neler?
Vücudun hemen her bölgesinde görülebilen kanser oluşumları, ağız içerisinde de  ağız kanseri belirtileri ile ortaya çıkabilmektedir. Kontrol...
Read more
                Gülüş Estetiği Nedir? Gülüş Estetiği Fiyatları Ne Kadar?
Gülüş estetiği dişlerdeki görüntü bozukluklarını düzelmek amacıyla kişinin de istekleri göz önünde bulundurularak yapılan estetik diş uygulamalarıdır....
Read more
                Uyku Apnesi Tedavisi Nasıl Yapılır, Ne İyi Gelir?
Uyku apnesi tedavisi diş hekimleri tarafından tedavi edilebilir bir tedavidir. Uyku apnesine yapılacak tedavi kişiden kişiye değişebilmektedir. Uyku a...
Read more
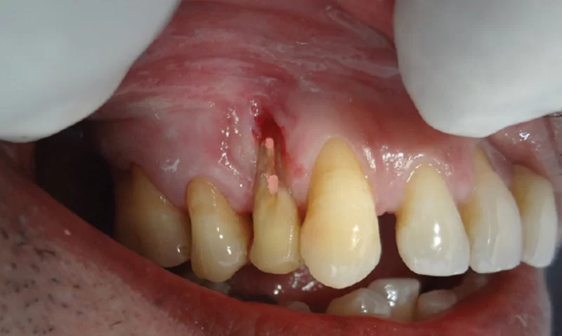
                Rezeksiyon Nedir? Diş Rezeksiyonu Nasıl Yapılır?
Rezeksiyon bir tıp terimi olarak tedavi edilemeyecek durumda olan diş veya dişlerin bir kısmının tamamen çıkarılması ve alınması işlemidir. Diş rezeks...
Read more
                Gömülü Diş Çekimi Nedir? Gömülü Diş Ameliyatı Nasıl Yapılır?
[caption id="attachment_7057" align="alignleft" width="401"] gömülü diş[/caption] Gömülü diş diğer dişlerden ayrı olarak düzgün çıkamamış ve çene kemi...
Read more
                Gummy Smile Nedir? Gummy Smile Fiyat 2021
Gummy smile gülme esnasında diş etlerinin normalden fazla gözükmesidir. Gummy smile fiyat 2021 uygulanacak tedaviye göre belirlenmektedir. Gummy smile...
Read more