Diş Teli Hakkında Merak Edilenler
Diş teli dünya çapında en çok tercih edilen, alternatif diş estetiği tedavilerindendir.Diş teli tedavi sürecine ilişkin pek çok merak edilen husus bul...
Read more
                Diş Teli Nasıl Takılır?
Diş telleri, ağız ve diş sağlığını sağlamak adına tercih edilen en etkili tedavi seçeneklerindendir. Bu özel tedavi ağız ve diş estetiğini maksimum se...
Read more
                Diş Teli Tedavi Aşamaları
Diş teli tedavi aşamaları, sanıldığı kadar zor değildir. Unutulmamalıdır ki, ağız ve diş yapısındaki bozukluklar, konuşmayı, yeme ve içmeyi, gülüşü ve...
Read more
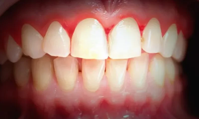
                Diş Eti Kanaması Neden Olur?
[caption id="attachment_5412" align="alignleft" width="400"] diş eti kanaması neden olur[/caption]Diş Eti Kanaması Neden Olur?Diş eti kanaması, g...
Read more
                Renkli Diş Teli
Renkli diş teli; klasik diş tellerine alternatif olarak geliştirilmiş ortodontik tellerdir. Renkli diş telleri; braketlerin veya lastiklerin renkli ol...
Read more
                Porselen Diş Teli Fiyatları ve Avantajları
[caption id="" align="alignleft" width="400"] porselen diş teli[/caption]Porselen diş teli tedavisi, dişler üzerine yapıştırılan braketlerin şeff...
Read more