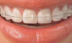
[caption id="" align="alignleft" width="400"]
porselen diş teli[/caption]
Porselen diş teli tedavisi, dişler üzerine yapıştırılan braketlerin şeffaf ve uzaktan bakıldığında belli olmayan çeşitleridir. Porselen diş teli uygulamasında yine metal teller kullanılır, ancak diş yüzeyine yapıştırılan braketler şeffaf olduğu için tedavi sadece yakından belli olur.
Ortodonti tedavilerinde kullanılan diş telleri çeşitlerinden olan porselen diş teli diğer adıyla görünmez diş teli, safir diş teli, şeffaf diş teli gibi isimlerle de kullanılır. Estetik görünümün önem kazandığı yıllarda ortaya çıkan porselen braketler, metal diş tellerinden farklı olarak estetik anlamda kişileri rahatsız etmez.
Diş hekimliğinin önemli basamağı olan porselen diş teli tedavisi ortodontik tedavide çapraşık dişlerin düzeltilmesi aşamasında kullanılır.
Porselen Diş Teli Fiyatları
Porselen diş teli fiyatları 2022 yılında sadece üst çeneye uygulandığında 3.000₺ ile 6.000₺, alt ve üst çene olarak iki yere uygulandığında 6.000₺ ile 10.000₺ fiyat aralığında değişmektedir. Fiyatları çapraşık dişlerin sayısı, ağız ve çene yapısının durumu ve doktorunuzun hizmet kalitesi belirler.
Porselen Diş Teli Mi? Metal Mi?
Pek çok kişi ortodonti tedavisi görürken diş teli çeşitleri arasında ikilemde kalabiliyor. Özellikle porselen diş teli mi? Metal mi? Konusunda yaşanan kafa karışıklığı nedeni ile tedavi süreniz uzayabiliyor. Porselen ve geleneksel yani metal diş telleri arasında bir karşılaştırma yaparsak;
- Metal diş telleri, diş ve çene kemiğine daha fazla kuvvet uygular. Dolayısı ile tedavi süresi porselen diş tellerine göre daha kısadır.
- Porselen diş tellerinde esneme yaşanabilir. Fakat metal diş tellerinde hiçbir şekilde esneme meydana gelmez.
- Porselen diş tellerinde kırılma meydana gelebilir. Ancak metal diş tellerinde kırılma ve bükülme gibi sorunlar yaşanmaz.
- Porselen diş teli bakımlarının özenle yapılmaması durumunda diş taşı oluşabilir. Geleneksel diş teli tedavilerinde bu tür problemler gözlemlenmez.
- Porselen diş teli tedavi sürecini gören kişiler, ağız hijyenine dikkat etmedikleri takdirde diş yüzeyinde yaşanan diş taşı ve diş eti sorunları, metal diş tellerine göre daha fazla olur.
- Porselen diş tellerindeki şeffaf plaklar, metal braketlere göre görünmeme avantajı taşır. Bu sebeple porselen diş telleri oldukça konforlu olup estetik kaygıyı bozmaz.
- Metal diş telli markası doğru seçilmez ise ağız içinde alerjik reaksiyonlara neden olabilir. Porselen diş tellerinde bu türlü sorunlar çok yaşanmaz.
- Metal diş telleri fiyat bakımından, porselen diş tellerine göre daha uygun fiyattadır.
Tüm bu artı ve eksileri göz önüne aldığımızda porselen diş telleri çeşitlerinin yetişkinler için daha avantajlı olduğu ortaya çıkmaktadır.
Tek Diş İçin Porselen Diş Teli
Nasıl ki diş bozuklukları herkes için aynı değil ise uygulanan tedaviler de kişiye özel olacaktır. Özellikle kaza ve çarpma gibi etmenlere bağlı olarak ortaya çıkan tek diş bozukluklarında ortodontik tedavi uygulaması yapılabilir. Burada yapılan tedavi için komşu dişlerden destek alınır. Tek diş için porselen diş teli en ideali olacaktır.
Hem fiyat bakımından hem de estetik görünüm açısından kullanılan porselen diş telleri, tek diş bozukluklarında oldukça avantajlı bir tedavi yöntemidir. Tek ya da birkaç dişe yapılacak olan diş teli tedavisi için ilk olarak doktorunuz ile görüşüp, detaylı bilgi almanız gereklidir.
Porselen Diş Teli Bakımı Nasıl Yapılmalıdır?
Porselen diş teli bakımı, diğer geleneksel diş tellerine nazaran biraz daha hassastır. Ayrıca metal diş tellerine göre yaklaşık 2 – 3 ay daha fazla kullanılmaktadır. En önemlisi de diş telini porselen kullanan kişilerin sert yiyeceklerden kesinlikle uzak durması gerekir.
Bunun dışında düzenli bir şekilde diş fırçalama işlemlerinin yapılması gerekir. Temiz tutulan braketler, dişlerin daha sağlıklı kalmasındaki en etkili faktördür. Aksi halde porselen yüzeylerde sarı lekeler meydana gelebilir. Standart diş fırçaları ve diş macunları yerine doktorun önerdiği özel diş fırçası ve diş macunu kullanılması gerekir.
Bu sayede diş telleri bakımlarını ve diş bakımlarınızı en iyi şekilde yapmanız mümkün olacaktır. Yine ağız hijyeninize de dikkat etmenizde fayda vardır. Porselen diş teli ile ilgili detaylı bilgi almak için bize iletişim kanallarımızdan ulaşabilirsiniz.
Porselen Diş Teli Soru-Cevap
Porselen Diş Teli nedir?
Porselen Diş Teli kimlere uygulanır?
Ortodontik bozukluğu bulunan her kişi diş hekiminin de onayıyla porselen diş tellerini kullanabilir.
Porselen Diş Teli tek çene için uygulanır mı?
Evet, sadece alt ya da üst dişler için gerekiyorsa tek çene için uygulanabilir.
Porselen Diş Teli bakımı nasıl yapılır?
Porselen Diş Teli sararır mı?
Porselen diş telleri şeffaf olduğu için iyi fırçalamamak, sigara kullanmak, fazla kahve tüketimi braketleri sarartabilmektedir.


0 Комментарий
Комментариев пока нет. Оставьте комментарий первым!